Bruxismus / CMD
Was ist Bruxismus ?
Bruxismus oder auch Zähneknirschen ist eine für das Kausystem schädliche Angewohnheit, bei der die Zähne unter oft sehr hohem Druck aufeinandergepresst oder -gerieben werden. Nicht selten wirken sich die Folgen dieser Aktivität, die eigentlich keinen wirklichen Zweck erfüllt und deshalb in der Medizin auch als ‘Parafunktion’ bezeichnet wird, nicht nur auf die Zähne und die Kiefergelenke aus, sondern auch auf benachbarten anatomischen Strukturen im Kopf-, Hals- und Schulterbereich.
Bruxismus findet häufig nachts im Schlaf, wenn unser Bewusstsein völlig ausgeschaltet ist, manchmal aber auch unbewusst tagsüber statt. Langfristig führt diese  
Aktivität immer zu Schäden an der Zahnhartsubstanz und oft zu Beschwerden im Kiefergelenk und der Muskulatur.
  - BildtitelUntertitel hier einfügenButton
  - BildtitelUntertitel hier einfügenButton
  - BildtitelUntertitel hier einfügenButton
- Haben Sie den Verdacht, dass Sie auf den Zähnen knirschen ?
- Leiden Sie bereits beim Aufwachen unter unerklärlichen Verspannungen, Kopf- oder Nackenschmerzen und fühlen sich abgeschlagen ?
- Hat Ihnen Ihr*e Partner*in vielleicht schon einmal gesagt, dass Sie nachts Geräusche mit den Zähnen machen ?
Dann ist es gut möglich, dass Sie zu den Menschen gehören, die nachts auf den Zähnen knirschen oder die Kiefer mit hohem Druck aufeinanderpressen. Man geht davon aus, dass unter Stress jeder Zweite zeitweise im Leben knirscht oder presst.
Da die langfristigen Folgen des nächtlichen Bruxismus weitreichend sein können, sollten Sie diese Warnsignale nicht auf die leichte Schulter nehmen.
Wir können schon frühzeitig an Ihrem Gebiss erkennen, ob Sie an Bruxismus leiden und ob eine Knirscher-Schiene Ihnen helfen kann. Rufen Sie uns an und vereinbaren Sie einen Termin . . .
. . . damit Sie nachts nicht mehr so verbissen sind 😉
- Haben Sie den Verdacht, dass Sie auf den Zähnen knirschen ?
- Leiden Sie bereits beim Aufwachen unter unerklärlichen Verspannungen, Kopf- oder Nackenschmerzen und fühlen sich abgeschlagen ?
- Hat Ihnen Ihr*e Partner*in vielleicht schon einmal gesagt, dass Sie nachts Geräusche mit den Zähnen machen ?
Dann ist es gut möglich, dass Sie zu den Menschen gehören, die nachts auf den Zähnen knirschen oder die Kiefer mit hohem Druck aufeinanderpressen. Man geht davon aus, dass unter Stress jeder Zweite zeitweise im Leben knirscht oder presst.
Da die langfristigen Folgen des nächtlichen Bruxismus weitreichend sein können, sollten Sie diese Warnsignale nicht auf die leichte Schulter nehmen.
Wir können schon frühzeitig an Ihrem Gebiss erkennen, ob Sie an Bruxismus leiden und ob eine Knirscher-Schiene Ihnen helfen kann. Rufen Sie uns an und vereinbaren Sie einen Termin . . .
02137 - 799 443
. . . damit Sie nachts nicht mehr so verbissen sind 😉
Wie entsteht Bruxismus ?
Die Ursachen von Bruxismus sind vielfältig. Oft ist es ein Indiz für große Anspannung und Stress im Alltag oder für ein emotionales Ungleichgewicht, manchmal spielen aber auch bestimmte Gewohnheiten wie die gehäufte Einnahme von Genussmitteln wie z.B. Koffein oder Alkohol eine Rolle, auch können Medikamente der Auslöser sein.
-  Als lokal auslösende Faktoren gelten schief stehende Zähne, . . .. . . schlecht passender Zahnersatz oder störende Füllungen, ebenso wie Fehlstellungen des Ober- und Unterkiefers. In Fällen, in denen das Knirschen und Pressen einhergeht mit Funktionsstörungen des Kausystems, spricht man von einer CMD, der Cranio-Mandibulären-Dysfunktion, bei der die Harmonie des gesamten Bewegungs- und Stützapparates beeinträchtigt ist. Häufig wird diese begleitet von Schmerzen im Kiefergelenk, der Kaumuskulatur sowie der angrenzenden Muskulatur im Schulter-Nacken-Bereich. 
Wie entsteht Bruxismus ?
Die Ursachen von Bruxismus sind vielfältig. Oft ist es ein Indiz für große Anspannung und Stress im Alltag oder für ein emotionales Ungleichgewicht, manchmal spielen aber auch bestimmte Gewohnheiten wie die gehäufte Einnahme von Genussmitteln wie z.B. Koffein oder Alkohol eine Rolle, auch können Medikamente der Auslöser sein.
-  Als lokal auslösende Faktoren gelten schief stehende Zähne, . . .. . . schlecht passender Zahnersatz oder störende Füllungen, ebenso wie Fehlstellungen des Ober- und Unterkiefers. In Fällen, in denen das Knirschen und Pressen einhergeht mit Funktionsstörungen des Kausystems, spricht man von einer CMD, der Cranio-Mandibulären-Dysfunktion, bei der die Harmonie des gesamten Bewegungs- und Stützapparates beeinträchtigt ist. Häufig wird diese begleitet von Schmerzen im Kiefergelenk, der Kaumuskulatur sowie der angrenzenden Muskulatur im Schulter-Nacken-Bereich. 
-  weiterlesen . . .Als lokal auslösende Faktren gelten schief stehende Zähne, schlecht passender Zahnersatz oder störende Füllungen, ebenso wie Fehlstellungen des Ober- und Unterkiefers. In Fällen, in denen das Knirschen und Pressen einhergeht mit Funktionsstörungen des Kausystems, spricht man von einer CMD, der Cranio-Mandibulären-Dysfunktion, bei der die Harmonie des gesamten Bewegungs- und Stützapparates beeinträchtigt ist. Häufig wird diese begleitet von Schmerzen im Kiefergelenk, der Kaumuskulatur sowie der angrenzenden Muskulatur im Schulter-Nacken-Bereich. 
Folgen von Bruxismus
Im Gegensatz zur CMD, bei der Patienten auf Grund der Schmerzsymptome häufig selbst einen Zahnarzt aufsuchen, kommt die Diagnose 'Bruxismus' als reine Parafunktion für viele oft überraschend. Doch die Anzeichen hierfür sind frühzeitig erkennbar.
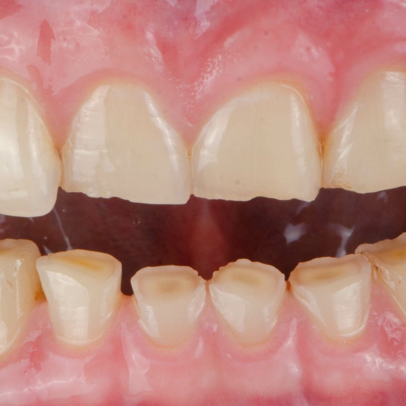
Durch das ständige Knirschen entstehen Abrasionen (= Abrieb) auf den Zähnen, wodurch diese kürzer werden und auch ihre Form verändern. Dies kann soweit führen, dass der Schmelz an einzelnen Stellen vollständig weggeknirscht wird und das darunterliegende gelbliche Dentin zum Vorschein kommt. Da das Dentin von mikroskopisch kleinen Kanälchen durchzogen ist, in denen Ausläufer von Nervenzellen liegen, kann dies beim Kauen zu Empfindlichkeiten führen. Außerdem ist das Dentin deutlich weicher als der Zahnschmelz, so dass sich der Abrieb an diesen Stellen beschleunigt
-  Andere häufig auftretende Anzeichen sind:- kleine vertikale Risse im Zahnschmelz, die i.d.R. zwar nicht zu größeren Schäden führen, die aber Empfindlichkeiten auf Hitze oder Kälte begünstigen,
- kleinere Frakturen oder Absprengungen des Zahnschmelzes, was bei den Schneidezähnen dann auch schnell zu einer eingeschränkten Ästhetik führt,
- freiliegende Zahnhälse, die sich mit der Zeit vertiefen, wodurch keilförmige Defekte direkt an der Grenze zum Zahnfleisch entstehen, oder
- Veränderungen der Wangenschleimhäute oder der Zungenränder durch mechanische Traumatisierung.
 Nicht selten führt Bruxismus auch zu einem morgendlichen Gefühl der Abgeschlagenheit, da der Schlaf gestört wird, und zu einem erhöhten Muskeltonus, was Verspannungen im Schulter- und Nackenbereich oder auch zu Kopfschmerzen zur Folge haben kann. 
Folgen von Bruxismus
Im Gegensatz zur CMD, bei der Patienten auf Grund der Schmerzsymptome häufig selbst einen Zahnarzt aufsuchen, kommt die Diagnose 'Bruxismus' als reine Parafunktion für viele oft überraschend. Doch die Anzeichen hierfür sind frühzeitig erkennbar. 
-  weiterlesen . . .Durch das ständige Knirschen entstehen Abrasionen (=Abrieb) auf den Zähnen, wodurch diese kürzer werden und auch ihre Form verändern. Dies kann soweit führen, dass der Schmelz an einzelnen Stellen vollständig weggeknirscht wird und das darunterliegende gelbliche Dentin zum Vorschein kommt. Da das Dentin von mikroskopisch kleinen Kanälchen durchzogen ist, in denen Ausläufer von Nervenzellen liegen, kann dies beim Kauen zu Empfindlichkeiten führen. Außerdem ist das Dentin deutlich weicher als der Zahnschmelz, so dass sich der Abrieb an diesen Stellen beschleunigt. Andere häufig auftretende Anzeichen sind: 
 - kleine vertikale Risse im Zahnschmelz, die i.d.R. zwar nicht zu größeren Schäden führen, die aber Empfindlichkeiten auf Hitze oder Kälte begünstigen,
- kleinere Frakturen oder Absprengungen des Zahnschmelzes, was bei den Schneidezähnen dann auch schnell zu einer eingeschränkten Ästhetik führt,
- freiliegende Zahnhälse, die sich mit der Zeit vertiefen, wodurch keilförmige Defekte direkt an der Grenze zum Zahnfleisch entstehen, oder
- Veränderungen der Wangenschleimhäute oder der Zungenränder durch mechanische Traumatisierung.
 Nicht selten führt Bruxismus auch zu einem morgendlichen Gefühl der Abgeschlagenheit, da der Schlaf gestört wird, und zu einem erhöhten Muskeltonus, was Verspannungen im Schulter- und Nackenbereich oder auch zu Kopfschmerzen zur Folge haben kann. 
Folgen von Bruxismus
Im Gegensatz zur CMD, bei der Patienten auf Grund der Schmerzsymptome häufig selbst einen Zahnarzt aufsuchen, kommt die Diagnose 'Bruxismus' als reine Parafunktion für viele oft überraschend. Doch die Anzeichen hierfür sind frühzeitig erkennbar.
Durch das ständige Knirschen entstehen Abrasionen (= Abrieb) auf den Zähnen, wodurch diese kürzer werden und auch ihre Form verändern. Dies kann soweit führen, dass der Schmelz an einzelnen Stellen vollständig weggeknirscht wird und das darunterliegende gelbliche Dentin zum Vorschein kommt. Da das Dentin von mikroskopisch kleinen Kanälchen durchzogen ist, in denen Ausläufer von Nervenzellen liegen, kann dies beim Kauen zu Empfindlichkeiten führen. Außerdem ist das Dentin deutlich weicher als der Zahnschmelz, so dass sich der Abrieb an diesen Stellen beschleunigt.
-  Andere häufig auftretende Anzeichen sind:- kleine vertikale Risse im Zahnschmelz, die i.d.R. zwar nicht zu größeren Schäden führen, die aber Empfindlichkeiten auf Hitze oder Kälte begünstigen,
- kleinere Frakturen oder Absprengungen des Zahnschmelzes, was bei den Schneidezähnen dann auch schnell zu einer eingeschränkten Ästhetik führt,
- freiliegende Zahnhälse, die sich mit der Zeit vertiefen, wodurch keilförmige Defekte direkt an der Grenze zum Zahnfleisch entstehen, oder
- Veränderungen der Wangenschleimhäute oder der Zungenränder durch mechanische Traumatisierung.
 Nicht selten führt Bruxismus auch zu einem morgendlichen Gefühl der Abgeschlagenheit, da der Schlaf gestört wird, und zu einem erhöhten Muskeltonus, was Verspannungen im Schulter- und Nackenbereich oder auch zu Kopfschmerzen zur Folge haben kann. 
Therapie
Da die Ursachen des Bruxismus vielschichtig sind, konzentriert man sich zunächst auf die Symptome des Bruxismus und sorgt für deren Linderung. In der Regel findet eine Schienentherapie Anwendung, die das Tragen einer sogenannten Aufbissschiene vorsieht. Diese wird aus Kunststoff individuell hergestellt und dient dazu den Kontakt zwischen den Zähnen des Ober- und Unterkiefers zu unterbrechen, so dass ein Reiben und Pressen der Zähne unterbunden wird. Hierdurch werden Schäden an der Zahnhartsubstanz verhindert und Überbelastungen des Zahnhalteapparats sowie der Kiefergelenke und der Muskulatur verringert.
Eine individuelle Vermessung der Lage des Oberkiefers in Relation zu den Kiefergelenken erhöht dabei nicht nur den Tragekomfort einer Schiene, sie ist auch wichtig um die Funktion der Kiefergelenke durch das Tragen der Schiene nicht zu beeinträchtigen und sie ist gerade bei einer CMD-Behandlung die Grundlage für eine erfolgreiche Behandlung.
Begleitende physiotherapeutische Maßnahmen können bei einer akuten CMD Blockaden im Kiefergelenk lösen oder bei muskulären Problemen zur Entspannung der betroffenen Muskulatur beitragen.
Therapie
Da die Ursachen des Bruxismus vielschichtig sind, konzentriert man sich zunächst auf die Symptome des Bruxismus und sorgt für deren Linderung. In der Regel findet eine Schienentherapie Anwendung, die das Tragen einer sogenannten Aufbissschiene vorsieht. Diese wird aus Kunststoff individuell hergestellt und dient dazu den Kontakt zwischen den Zähnen des Ober- und Unterkiefers zu unterbrechen, so dass ein Reiben und Pressen der Zähne unterbunden wird. Hierdurch werden Schäden an der Zahnhartsubstanz verhindert und Überbelastungen des Zahnhalteapparats sowie der Kiefergelenke und der Muskulatur verringert.
Eine individuelle Vermessung der Lage des Oberkiefers in Relation zu den Kiefergelenken erhöht dabei nicht nur den Tragekomfort einer Schiene, sie ist auch wichtig um die Funktion der Kiefergelenke durch das Tragen der Schiene nicht zu beeinträchtigen und sie ist gerade bei einer CMD-Behandlung die Grundlage für eine erfolgreiche Behandlung.
Begleitende physiotherapeutische Maßnahmen können bei einer akuten CMD Blockaden im Kiefergelenk lösen oder bei muskulären Problemen zur Entspannung der betroffenen Muskulatur beitragen.




